• 筱君台灣 PLUS
  • 政治
  • 國際
  • Shorts
  • 財經
  • 生活
  • 社會
  • 科技
  • 文化
  • 娛樂
  • 筱君台灣 PLUS
  • 政治
  • 國際
  • Shorts
  • 財經
  • 生活
  • 社會
  • 科技
  • 文化
  • 娛樂
1212
  • 筱君台灣 PLUS
  • 政治
  • 國際
  • Shorts
  • 財經
  • 生活
  • 社會
  • 科技
  • 文化
  • 娛樂
  • 筱君台灣 PLUS
  • 政治
  • 國際
  • Shorts
  • 財經
  • 生活
  • 社會
  • 科技
  • 文化
  • 娛樂
你都在做好心了 我怎麼還跟你收錢? 不只幫彰化拚經濟 林世賢更是暖男醫師! 中友百貨、全球最大半導體設備商願進駐彰化 與林世賢”這件事”有關! 一個都不能少?林世賢:民進黨每一席彰化立委都很重要!國會若少一席將戰力銳減! 綠營彰化縣長四搶一 最在乎產業的就是他!彰化隊成立 林世賢拼經濟優先、產業第一! 豐臺新媒|【1204直播】川普鬆綁車輛油耗標準 美車價估降千美元/川普疾呼要扼殺綠色新騙局 終止拜登時代燃油規範 預計明年實施 豐臺新媒|高市早苗敢說台灣有事 打破日本沉默的大象 翁達瑞:內閣發言一致 一反昔一中情結/中國威脅成催化劑!翁:日本人感受到生存危機 更挺高市/美期待台低調?翁:台灣無立即危險 別幫美惹麻煩|20251208| 彰化的臭味 林世賢讓它消失了! 「如果你准他 我一定告你圖利!」 豐臺新媒|中日關係陷僵局 中方找藝人出氣 吳嘉隆:顯示外交沒招了/吳嘉隆:高市早苗比安倍更強硬 台灣有事 日本出兵 已是法律預備/中國砸爛國際招牌! 吳嘉隆:全球國家都懂了 協議簽了也沒用|20251203|
Facebook Line Instagram Youtube Envelope
Home » Hot » 烏魚苗快速鑑別 水試所研發檢測試紙 | 生活 | 中央社 CNA
烏魚苗快速鑑別 水試所研發檢測試紙 | 生活 | 中央社 CNA
生活

烏魚苗快速鑑別 水試所研發檢測試紙 | 生活 | 中央社 CNA

中央社By 中央社2025-11-30尚無留言1 Min Read
Share
Facebook Twitter LinkedIn Pinterest Email

2025/11/28 17:19(11/28 17:31 更新)


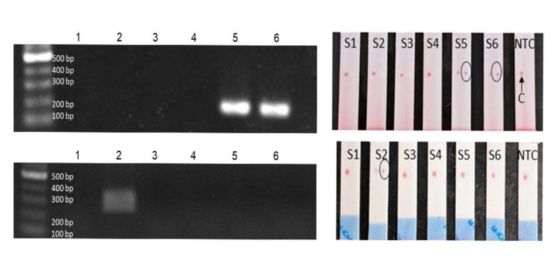
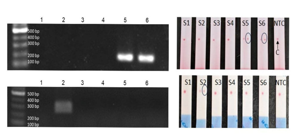
農業部28日指出,水產試驗所運用分子生物鑑定技術,成功開發出烏魚系群快速檢測試紙,可協助業者迅速判別魚苗來源,篩選出適合當地養殖的系群。(水產試驗所提供)中央社記者汪淑芬傳真 114年11月28日
農業部28日指出,水產試驗所運用分子生物鑑定技術,成功開發出烏魚系群快速檢測試紙,可協助業者迅速判別魚苗來源,篩選出適合當地養殖的系群。(水產試驗所提供)中央社記者汪淑芬傳真 114年11月28日

(中央社記者汪淑芬台北28日電)烏魚是台灣沿近海漁業與養殖業的重要經濟魚種,烏魚子更珍貴,養殖用烏魚苗仰賴野生撈捕,不同魚苗,烏魚子品質差異大,水試所研發快速檢測試紙,協助養殖業提高競爭力。

農業部今天發布新聞稿,水產試驗所運用分子生物鑑定技術,成功開發出烏魚系群快速檢測試紙,可協助業者迅速判別魚苗來源,篩選適合當地養殖的系群。

水試所指出,烏魚因其珍貴的烏魚子素有「烏金」美譽,是台灣沿近海漁業與養殖業的重要經濟魚種,台灣鄰近西北太平洋海域的烏魚可分為溫帶型、黑潮型與熱帶型3大系群,分布於不同水溫帶。

水試所表示,目前養殖用烏魚苗主要仰賴野生撈捕,如何精準鑑別魚苗系群、選擇適合台灣環境的族群,成為確保養殖產業在氣候變遷下維持永續發展的關鍵。

水試所研究團隊指出,過去研究已顯示不同系群雌魚的生殖特性差異明顯,直接影響烏魚子的產值潛力。溫帶型雌魚經3年養殖後,性腺指數偏低、卵巢未見發育;黑潮型雌魚則具有較高性腺指數與發育中卵巢,具生產烏魚子的經濟價值。表現最佳者為熱帶型雌魚,其體重與卵巢重量均顯著高於黑潮型雌魚,顯示具生產體型更大、品質更優烏魚子的潛力。

水試所表示,這次開發的烏魚系群鑑定快速檢測DNA試紙,能在40分鐘內判定烏魚苗與親魚的系群來源,為人工繁殖與種苗選育提供科學依據。未來將持續優化檢測技術,協助養殖業者建立更具氣候韌性與永續競爭力的烏魚產業。(編輯:管中維)1141128

中央社「一手新聞」 app

iOS App下載Android App下載

本網站之文字、圖片及影音,非經授權,不得轉載、公開播送或公開傳輸及利用。

Source link

Share. Facebook Twitter Pinterest LinkedIn Tumblr Email
中央社

Related Posts

By 中央社

北榮內視鏡微創瓣膜手術 傷口縮1/4、免鋸骨 | 生活 | 中央社 CNA

2025-12-03
By 中央社

台大人文館獲美國混凝土學會獎項 台灣工程界首見 | 生活 | 中央社 CNA

2025-12-03
By 中央社

鐘點移工計畫再增6家試辦單位 15縣市有服務 | 生活 | 中央社 CNA

2025-12-03

豐臺新媒|鄭麗文說台灣會變成烏克蘭? 台灣在美國戰略中的定位 為何遠高於烏克蘭?

2025-11-29

豐臺新媒|國民黨到底站在哪裡? 提升防衛=玩火? 台灣人真的要醒了!

2025-11-29

豐臺新媒|守護台灣被罵「玩火」? 國民黨這口氣竟與國台辦同步! 全民看清了! 中共軍費 8 兆威脅台灣!

2025-11-27

豐臺新媒|2027攻台? 美軍司令: 開戰不是習能決定! 美軍揭: 台灣 美國 國際社會才是關鍵變數! 代價高到中共不敢賭!

2025-11-27

豐臺新媒|最致命的不是武統!賴清德警告:北京真正武器是「讓台灣人放棄抵抗」!歷史血淚正在重演!

2025-11-27

豐臺新媒|馬英九心願未了?為諾貝爾和平獎鋪路? 國民黨要靠習近平認證? 副主席竟是北京最信任的人脈!

2025-11-26

豐臺新媒|反共太有效? 黑熊學院12萬人訓練 中國怕爆! 沈伯洋遭全球通緝卻獲48國挺身聲援!

2025-11-26

豐臺新媒|川習通話兩版本! 北京狂加戲: 談台灣!川普完全不提台灣! 誰在說謊?

2025-11-26
  • 關於我們
  • 新聞聯絡
  • 合作提案
  • 隱私權政策
  • 訂閱
  • 電話:(02)2775-5882
  • 地址:台北市信義區基隆路一段333號12樓1209室
  • service@fantasticnewmedia.com
©Copyright Fantastic New Media 2024 豐臺新聞網 版權所有
Facebook Line Instagram Youtube

Type above and press Enter to search. Press Esc to cancel.